粉丝1.2万获赞30.4万

这种智齿必须要拔掉,经常有人问呐,到底是什么样的智齿必须得拔?今天就给大家总结几种必须拔掉的智齿的情况,看看你的智齿要不要拔。第一,智齿只露出一半,还有一半藏在牙龈和牙床里面, 这种情况的智齿呢,很容易发炎,最好需要拔掉。第二,横着长的智齿,跟前面的大牙之间呢,还容易塞食物,时间长了容易发炎,还容易顶烂前面的大牙,这种情况也是需要拔掉的。 第三,横着长但是埋的很深的智齿,千万不要以为不塞牙没有长出来就没事,他可能在里面顶住了旁边的牙齿,导致前面大牙的牙根吸收小心,时间一久,旁边的牙也可能会保不住。所以啊,如果是出现了以上三种情况的智齿,劝大家还是早拔早安心。


一半长肉里一半长出来的智齿,像这种智齿需不需要拔?这种部分萌出被牙龈覆盖的智齿,称为软组织阻生智齿,由于它与牙龈之间会形成一个难以清洁的盲袋,极易嵌塞食物残渣, 导致两个主要问题,智齿冠周炎反复引起牙龈红肿、疼痛,甚至张口受限、邻牙取坏、 清洁不到位,会导致智齿自身及前面相邻的第二磨牙,俗称大牙、蛀牙。建议拔除非正位萌出如倾斜水平阻生的智齿,或即使正位萌出但长期存在盲袋反复发炎者,可暂时保留观察。完全正位萌出,咬合正常、 能清洁到位且从未引发炎症的正位智齿。因此,对于长在肉里的祖生智齿,多数情况下建议预防性拔除,以避免后患。

王医生,致使出现了龋齿,应该怎么办?龋齿出现以后,主要是看坏的程度, 如果没有到神经,常规补一下就可以了,这个时候是最简单的,如果牙齿呢,已经烂空了,说明已经很严重了。这个时候坏的地方接近神经,或者已经发展成牙髓炎,就不仅仅是补牙了。 接近神经的我们需要先垫底保护一下神经,在充田修补,甚至有时候需要先安抚一下神经,观察一周后再垫底充田。如果已经是牙髓炎了,那就是老百姓理解的抽神经做根管治疗, 如果发展为根肩周炎,方法仍然是根管治疗,但这个时候需要更加复杂,需要增加几次患 药,等到根尖区的炎症消失后,才能充钱治疗。根管治疗后,考虑到牙齿呢,已经没有自己的神经血管营养了,便会出现易碎易裂,需要进行牙冠修复,保留我们残余的牙齿。 如果是说牙齿坏的已经没有办法保留,那这个时候呀,就建议拔除了,那最后需要用固定桥或者是种植牙来修复。

实际上我们绝大部分的智齿呢,都是不能完全长出来,处于一种主生的状态,所以很多的智齿呢,都是属于一种没有功能的情况,智齿如果烂掉一半,建议就把智齿进行拔除就可以了。


不是所有被肉包住的牙都是智齿啊!前段时间,有位二十出头的小姑娘发来照片,一颗牙被牙龈包着,她紧张的问是不是智齿,该不该拔? 这让我想到很多人一看到牙龈龅牙就以为是智齿,其实这是个误区。回想一下我们换牙的经历,横牙萌出时穿破牙龈的过程也会暂时被肉包住,伴有轻微不适,但通常时间较短,牙齿会顺利长出来。而智齿第三磨牙 则不同,他多在十八岁后萌出,由于空间不足,容易阻生或部分埋藏,导致牙龈反复发炎,甚至形成藏污纳垢的盲袋,问题可能长期存在。如果误将第二磨牙当成该拔的智齿,后果就严重了。所以辨别关键要看位置、时间和症状。 智齿通常位于牙列最末端,萌初期多在青春期后,且容易因清洁不当引发冠周炎,导致持续肿痛。 若不确定,最好去医院拍个 x 光片,明确诊断牙齿势大,分清再决定才能吃嘛嘛香。评论区留下你的牙片,我给你看看你的智齿该不该拔。

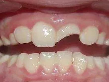
牙齿烂一半还有价值吗?这种门牙磕了一半很难看,就不想留了,其实很多朋友他不了解,拔掉之后后期 修复才是重点。做烤瓷牙还是做种植牙?烤瓷牙需要磨掉两边的牙齿,种植牙价格高,即使掉了一半,只要有牙根还有治疗的价值,就可以在治疗之后在里面打个桩,接一个牙罐,保护 不起来,继续正常使用,这样又省钱又可以保住原来的牙齿,你觉得对吗?我是口腔科刘医生,关注我,分享靠谱的口腔知识!

牙齿烂掉以后,你的第一反应是什么呢?很多老年人看诊时都会说,反正也烂了,补牙也麻烦,直接拔了吧。但通常来说呢,牙医是不会轻易拔牙的,就算你牙齿疼的再厉害, 也要看你烂牙的程度。一般而言呢,如果没有伤到牙身经,牙龈呢,一般会采取树脂填充进行补牙。如果烂到了牙身经, 说明你已经是非常严重的蛀牙了,会先做一个根管治疗,再做一个牙罐保护起来。一般呢,牙医都会秉持着能用尽量用的原则,除非真的烂到不能补救才会拔出。所以说,大家与其纠结怎么样划算,还是要好好保护牙齿吧。

牙齿掉了一半,有没有保留价值?很多人啊来看牙,哎呀,我的牙掉了一半,给我拔掉吧,我可不想留了。其实你们不了解牙,这么拔掉之后, 你想没想过后期怎么修复?你是做烤瓷牙呢还是做种植牙呢?一般的种植牙一颗都将近一万,那么你再想一下,做烤瓷牙还要磨掉两边的牙,所以 得想办法保住你这个牙呀。即使这个牙掉了一半,只要牙根还有治疗的价值,咱们就可以在牙根治疗之后呢在里面打两个桩, 然后接一个牙冠给他保护起来,就还能继续使用。所以说观众朋友们牙齿即使剩了一半,也不要着急去拔掉,看看有没有价值,有价值的话一定要做治疗之后再给他做个牙冠保护起来。

很大一部分朋友可能深受这个智齿的折磨,那怎么保持智齿带来的痛苦呢?跟我来,我来带你了解这个古生智齿的古怪脾气。 经常会遇到这么一种情况,就是智齿只萌出了一半,在可腔当中,有另外一半呢,死活不出来。呃,他没有完全的萌出于可腔当中呢,他容易导致伶牙牙根的吸收,伶牙的驱使。这种类型的智齿我们通常是建议拔除的, 在很好的局麻作用下,现在的微畅技术啊,比较复杂的智齿分成几个小块,一块一块的把没有萌出的智齿让它拔出一口腔当中,这样的畅畅是非常小的,也几乎不会有太大的肿痛反应。

什么样的智齿必须拔掉?以下几种就不能留?你看这一颗智齿,只露了一半的头,还有一半藏在里头了,上面盖在的牙龈里面特别容易藏脏东西,很容易发炎,所以说这种必须拔掉。再看这种横着长的牙齿, 他跟前面的大牙之间就非常容易塞牙,时间长了就容易发炎,肿起一个大包,每次碰到该有多疼啊,这样智齿就更得拔掉了。 还有,虽然横着长,但他埋得深,你别以为他埋在里面就没事了,他能把前面的那颗大牙牙根顶坏了,到最后两颗都留不住。 还有不少人问我,是不是上下对的两个字词,要一起拔掉。你看,如果只拔掉一颗,剩下的这颗就会长长了, 不仅吃饭碍事,时间长了连对面的牙床都能给咬发炎了。所以说,拔智齿最好是一对一起拔掉,就算他长得很正,只要不对劲了,也要赶紧拔掉它。

有粉丝问我,徐医生,我的牙齿烂了一半了,上次去找医生补牙,医生却不给我补,这是什么情况?之所以不能补牙呢?可能有三个原因,第一是你的蛀牙出现了疼痛,说明牙髓可能已经受到了细菌感染,引起了牙酸炎,需要做根管治疗。第二可 可能是你的蛀牙面积比较大,用复刻树脂补牙效果不好,补完没多久就要掉了。第三是蛀牙引起的牙根发炎了,牙医上呢,可能含有脓包,需要拍片做检查再确定治疗方案,你知道了吗?

口腔科医生教你如何挂号!得了牙病需口腔科挂号,不知道该挂哪个科门诊呢?几乎每天都会遇到挂错号的患者,排了好久的队,等到自己看着的时候发现挂错了号,会浪费你很多 很多的宝贵的时间。建议大家点赞收藏,需要的时候可以找出来看一看,让你去口腔科看病,至少节省一 的时间。首先要告诉大家,目前呢,大医院已经全面实行预约广告制度,微信的公众号、小程序、支付宝等等都可以进行 挂号。下面来说一说如何挂号。蛀牙、补牙、牙疼,还有牙齿的敏感,根管治疗等等,要挂牙体牙髓病科,牙龈出血、口气口臭,还有洗牙、牙龈发炎、牙齿松动等,请挂牙周病专科。那么拔牙、智齿发炎、张闭口的关节不适,要挂 口腔和面外科。十四岁以下的儿童各种口腔问题,要挂儿童口腔科,牙齿的缺失,想要镶牙还有根管治疗后要做牙冠的,那么你要挂口腔修复科。矫正牙齿请挂口腔政绩科。种牙的话要挂口腔种植科。如果你不清楚自己的牙齿是什么问题, 不知道该挂哪个科,那么你可以先打电话到口腔科的服务台咨询过医生和护士之后再进行挂号。


绝大部分的人智齿都是需要拔除的,长得非常正的人很少智齿最后一个长出来他都在后头,出来时候就没有位置了。大部分的人长不好的话,要么就是把前面牙顶坏了,要么他长一半这块老发炎,所以大部分的智齿都是需要拔。 我们经常见太多都是病人觉得啊,我现在不疼,我也没事,我就不拔,但他疼的时候有可能把前面这个牙都顶坏了,那顶坏了一拔智齿要拔掉,前面这片牙也要拔掉,而前面牙这个一拔掉又得要么镶牙,要么重牙,就带来很多问题,所以这个时候尽量听医生的话,不要及时的拔。