粉丝954获赞1.7万


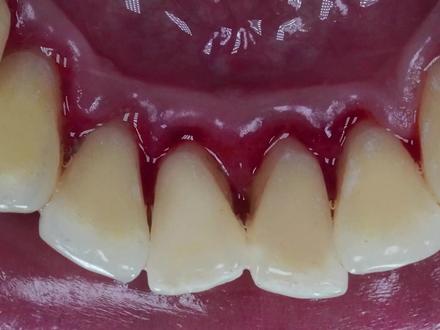
这个小伙实在太懒了,抽了二十多年的香烟都没能养成刷牙的习惯,每次出去相亲,女生看到他这一口大黑牙直呼受不了, 所以小伙只能勉为其难的去洗一次牙齿。只见小伙张开他的血盆大口,映入眼帘的就是一嘴地道的黑色牙结石,就连从业三十年的老牙医看了都佩服不已。牙医将超声波洗牙器塞进小伙的嘴里,在超声波的震动下,一块块细小的牙结石被震动下来。 由于小伙从小就不刷牙,所以牙结石被震下来后,牙齿仍然是黄黄的样子, 看起来就像是玉米粒一般。在牙齿和牙龈的连接处,牙结石就像是老顽固一样,长得十分硕大,奈何碰上了高科技,三下五除二就从扎根了二十年的地方脱落下来。 中间牙齿受灾最为严重,牙医拿着洗牙器不停的滋滋滋,都没能将它扣下来,所以牙医只好换下一颗牙齿操作 表面的黑色菌斑冲洗下来后,一大块牙结石脱落下来,随后立马被吸管吸走,看起来真是太解压了。 没到三分钟的时间,小火口中的牙结石基本都清理干净了,只剩下中间那颗没清理完成的牙齿,看起来是不是很像一个笑脸呢?牙医沿着嘴角处冲洗,顽固的牙结石瞬间四分五裂,明显地方的牙 牙结石清理掉后,牙医又在犄角旮旯的地方完整的清理了一番, 在超声波的作用下,小伙的一口大黑牙被处理的干干净净。看到洗牙前后的明显对比,看来平时不养成良好的刷牙习惯,后果可是让人十分触目惊心的呀!

仔细看这位六十岁的小伙,大门牙正面已经被结石深深的包围,牙齿后面也是漆黑漆黑的,小伙说他每天吃三四包槟榔,吃完一颗槟榔抽一根烟,那种感觉简直快活似神仙,就是有点费牙脱, 你老是打开了心爱的小水枪,水枪所到之处皆是灰飞烟灭,那种酸爽谁起谁知道, 托尼老师一高人胆大,不一会正面的结石就洗不干净,赶紧换到后面,后面的牙齿真的是太黑了,抽烟的朋友应该深有体会。托尼继续表演着他的绝活,黑黑的郊游也在水枪的威力下烟消云散。 一番烧操作,小火牙齿的背面也已经清洗干净, 这样看上去小伙的牙齿是不是非常的漂亮,妥妥的帅哥一枚。

隔壁二叔抽了几十年烟去洗牙齿是种什么样子的体验? 大家好,我是隔壁鸭子。 视频有密集恐惧症,不建议观看,小孩儿童需要有大人陪伴下观看哦!视频画质稍作修改,怕小伙伴们对自己牙齿产生误会。牙子请大家体谅一下,不会影响观看体验。 牙渍建议大家别吞口水,也不要怀疑自己的牙齿,因为每个人的牙齿牙垢都不一样,如有雷同请及时清洗哦! 牙子建议大家少抽烟,少喝酒,注意保护牙齿健康。 喜欢这类视频请关注一下牙子哟! 好了,我们开始沉浸式观看洗牙视频吧!
